РАК молочной железы: ПЕРВЫЕ симптомы, диагностика, самообследование
Рак молочной железы in situ, многоочаговость поражения. Клиническое наблюдение.
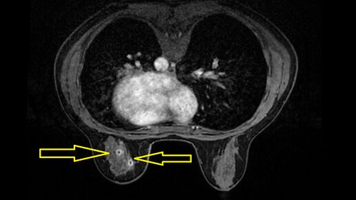
История пациентки М., 42 года. Более 10 лет назад М. обратила внимание на появление уплотнения в левой молочной железе. При обследовании по месту жительства какие-либо признаки злокачественности выявлены не были.
Около 1 года назад М. обратила внимание на явное увеличение размеров уплотнения.
По месту жительства была предложена небольшая диагностическая операция, М. согласилась. В июле 2023 была выполнена экономная резекция левой молочной железы, форма груди не изменилась, разрез был выполнен аккуратно по краю ареолы (так получаются самые незаметные разрезы), шов наложен косметический...
Маммолог отвечает на 12 вопросов о раке груди
Как поймать рак на первой стадии? Что делать, если у мамы и бабушки был РМЖ? Вредно ли делать маммографию? В каком возрасте развивается онкология? Мы задали эти и многие другие вопросы врачам маммологам клиники "ДАВИНЧИ". Ответы специалистов - в этой статье. Вопрос 1. Можно ли "поймать" рак молочной железы (РМЖ) на 1-2 стадии, когда вероятность излечения выше? В последние годы РМЖ выявляется на более ранних стадиях. 10 лет назад это происходило примерно в 60% случаев. Сейчас более более чем у 70% женщин РМЖ выявляется на 1-2 стадии...