ВИНИРЫ: это должны знать все! 😱Что нужно сделать ДО установки, когда нельзя ставить и кому нужны
Сколько стоит поставить виниры?
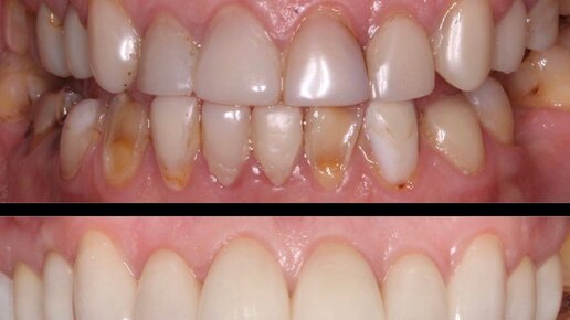
Из чего складывается цена и почему не получится сэкономить? Виниры прочно ассоциируются с красотой улыбки. Это керамические накладки, которые способны полностью преобразить пропорции, размеры и цвет родных зубов. Когда своя эмаль не так прекрасна, светла и крепка, как хотелось бы, ты нет-нет да и посмотришь прайсы клиник, прикинешь, какую сумму нужно приготовить. Важно понимать, в случае виниров цена ー один из критериев. Качественные виниры 一 это только керамика и это дорого. Если вы где-то наткнетесь на предложение установить виниры из композита, то обходите это место стороной...
Как ставят виниры
Что такое виниры? Виниры - это тонкие керамические или композитные облицовки, которые накладываются на переднюю поверхность зубов, чтобы улучшить их внешний вид и защитить от повреждений. Процесс установки виниров обычно включает несколько этапов: 1. Изготовление виниров. 2. Примерка виниров. 3. Подготовка к установке. 4. Окончательная установка. Изготовление виниров Изготовление виниров начинается с консультации с зубным врачом, который оценивает состояние зубов и определяет, подходят ли данные накладки для вашей ситуации...