10 месяцев назад
Переломы пястной кости: симптомы, лечение и реабилитация
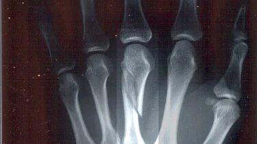
Перелом пястной кости — это травма, которая может случиться при сильном ударе, падении на руку или неправильной постановке кисти. Пястные кости играют ключевую роль в поддержании нормальной функции кисти, поэтому такие травмы требуют внимательного подхода к лечению и восстановлению. В этой статье мы расскажем, что такое перелом пястной кости, как его распознать, что делать при такой травме и как происходит реабилитация после лечения. Пястные кости — это пять костей, которые расположены между запястьем и фалангами пальцев...
5 лет назад
Оперативная санация плохо заживших переломов пястных костей и запястья
Как происходят переломы пястных костей и запястья? Переломы пястных костей и запястья относятся к наиболее распространённым травмам кисти. Так как зачастую они происходят при падении на кисть — например, при занятиях спортом или при несчастных случаях во время езды на мотоцикле или велосипеде — от этих травм страдают также пациенты молодого возраста. Особенно часто при падении происходит перелом ладьевидной кости, соединяющей лучезапястный сустав с пястью. Часто при этом переломе правильный диагноз устанавливается не сразу...
8 лет назад
Перелом основания пятой плюсневой кости: разновидности, симптомы, алгоритм лечения
Среди переломов 5-ти плюсневых костей, чаще всего встречается перелом основания пятой плюсневой кости. Основной контингент сломавших эту кость – это профессиональные спортсмены, балетные танцовщики и люди, ведущие спортивный образ жизни. У них также ломаются первая и четвёртая кости плюсны, но это встречается редко. Среди «обычных» людей повреждение 5-й плюсневой кости в основном получают женщины молодого и среднего возраста. Такая травма – это цена за ношение неудобной обуви или хождение на высоких каблуках...