Мама рассказала о том, что в школе рассматривали лук под микроскопом. Я тоже решил посмотреть.
Лук под микроскопом
Многие знают, что всё на Земле состоит из клеток. Убедимся в этом, рассмотрев под микроскопом кожицу лука. Проведём соответствующий опыт. Для опыта нам понадобятся: 1. Снимаем с лука тонкую кожицу. На ней мы будем разглядывать клетки. 2. Расправляем кожицу на предметном стекле при помощи зубочистки. 3. Капаем водный раствор йода при помощи пипетки на кожицу лука и ждём 5 минут. 4. Через пять минут аккуратно промываем кожицу лука водой. 5. После того как промыли кожицу, капаем немного воды из пипетки на предметное стекло с луком и накрываем покровным стеклом...
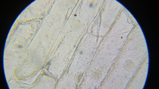
Лук на срезе увеличенный в сотни раз под микроскопом
Срез лука, увеличенный в сотни раз, предстает как удивительный, почти инопланетный пейзаж. Вот что можно увидеть. Клеточная структура: Самое первое, что бросается в глаза – четкая клеточная структура. Клетки лука выглядят как прямоугольные или многоугольные блоки, плотно прилегающие друг к другу. Стенки клеток (клеточные стенки) отчетливо видны, они образуют как бы кирпичную кладку. Ядра клеток: Внутри каждой клетки, обычно в центре, можно увидеть округлое ядро. Ядро – это "мозг" клетки, содержащий генетическую информацию (ДНК)...