Что такое туберкулез и как от него защититься
Туберкулез: как проявляется, признаки и профилактика
Первые признаки туберкулеза
Туберкулёз— довольно распространённое инфекционное заболевание человека, встречающееся и у животных. Встречается оно по всему миру и вызывается различными видами микобактерий...
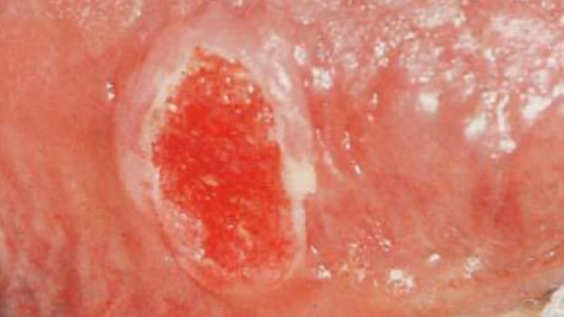
Как проявляется туберкулез в полости рта
и почему стоматолога нужно посещать раз в 6 месяцев Туберкулез – это инфекционное заболевание, вызываемое Mycobacterium tuberculosis. Хотя чаще всего он поражает легкие, болезнь может затрагивать и другие органы, включая полость рта. Стоматолог может быть первым специалистом, который заметит признаки туберкулеза, поскольку ротовая полость – это зона, где патологические изменения видны на ранних стадиях. Поражения при туберкулезе полости рта встречаются редко, но они возможны как при первичной, так и при вторичной формах заболевания...