757 читали · 1 месяц назад
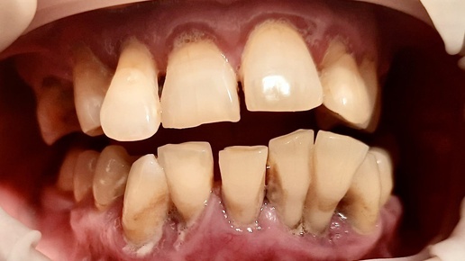
Как понять, что зуб под коронкой разрушился: разбираемся с симптомами, причинами и способами решения проблемы
Когда человек впервые ставит коронку, он часто воспринимает это как финальную точку - дескать, проблема решена, зуб теперь защищён и больше не потребует внимания. Он улыбается в зеркало, спокойно ест любимую пищу, может, даже хрустит яблоками - и совершенно забывает, что под этой эстетичной оболочкой по-прежнему остаётся живой (а чаще - мёртвый, но уязвимый) зуб, которому нужна забота и регулярный контроль. Проходит год, два, может быть, пять - и вдруг начинаются неприятности. Сначала это может быть лёгкий дискомфорт, ощущение, будто под коронкой что-то «поддавливает»...
Ультразвуковая чистка зубов. Как понять, что пришло время идти на процедуру
Ни для кого не секрет, что здоровье зубов напрямую зависит от качества и регулярности ухода. Профессиональная профилактика, несомненно, важный фактор при предупреждении болезни, но если вы в домашних условиях пренебрегаете ежедневной чисткой зубов, постоянных походов в кабинет стоматолога вам не избежать. Но и одного домашнего ухода недостаточно. Уход за полостью рта должен быть комплексным, обычная зубная щетка не сможет избавить вас от налета и зубных камней. Стоматологические услуги развиваются...