Как избавиться от тараканов суперклей видео ютуб. Ловушки для тараканов. Канал Тутси
Как мы всей клиникой заставляли кошку покакать. Клинический случай
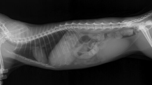
Это был мейн-кун. Девочка. Стерилизована. 5 лет. Поступила она в клинику с копростазом. Это болезнь, которая возникает после затяжного запора. Простыми словами - каловые массы стоят в прямой кишке и не хотят выходить. Чаще всего это заболевание возникает из-за неврологического заболевания, нарушениях в работе пищеварительной системы или из-за опухоли. В нашем случае, болезнь возникла из-за того, что что-то пошло не так в работе кишечника после того, как кошка сбежала из дома и где-то гуляла около недели...
Восстановление после полостной операции: что можно, а что — категорически нельзя
Как себя вести и какие нагрузки допустимы после операции, а какие — нет. Как выбрать послеоперационный бандаж, если возникла необходимость в его ношении. Обо всем этом рассказывает эксперт. Дмитрий Крупнов, врач-хирург первой категории клинической больницы «РЖД-медицина» (г. Саратов)
Подавляющее большинство операций на органах брюшной полости начинаются с нарушения целостности передней брюшной стенки, а заканчиваются ее восстановлением. При этом восстанавливается не только поверхностный...