Овуляция и гормональное обследование. Как определить, была овуляция или нет. Дементьева С.Н.
КАК ОПРЕДЕЛИТЬ БЫЛА ОВУЛЯЦИЯ ИЛИ НЕТ
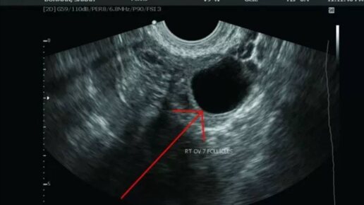
КАК ОПРЕДЕЛИТЬ БЫЛА ОВУЛЯЦИЯ ИЛИ НЕТ 🤔: Овуляция - это выход яйцеклетки из яичника в маточную трубу в результате разрыва доминантного фолликула Достоверные методы: 📍Фолликулометрия. При цикле 28-30 дней на 10-11 день цикла выполняется УЗИ для определения доминантного фолликула (более 10 мм в диаметре ) и далее контролируем каждые 2 дня до овуляции. Далее по узи за 7 дней (19-21 день цикла при его продолжительности 28-30 дней )до предполагаемой менструации надо оценить наличие желтого тела ...
Как понять, есть ли у меня овуляция
Чтобы забеременеть, нужна зрелая яйцеклетка. Яйцеклетка выходит из яичника во время овуляции и движется с током жидкости из разорвавшегося фолликула в маточную трубу для встречи со сперматозоидом. Если овуляции нет, этот синдром называется ановуляция. Обычно он связан с гормональным дисбалансом. Иногда овуляция то есть, то нет. В некоторых случаях она просто запаздывает или наступает преждевременно. Бывает и так, что овуляции нет вообще, и индуцировать её можно только с помощью лекарственных препаратов...