23,7 тыс читали · 5 лет назад
Как определяется Рак в щитовидной железе при УЗИ
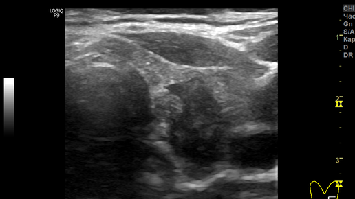
На примере одного из случаев нашей Клиники, расскажу о том, по каким признакам определяется рак в щитовидной железе при УЗИ. В этот раз пациентка обратилась в Клинику только для УЗИ. Каждый раз, начиная УЗИ щитовидной железы, совершенно не предполагаешь что увидишь при исследовании. Так и в этом случае. (Числами я обозначил признаки рака). Провожу датчиком над левой долей железы, просматривая ее методом сканирования, и вижу среди нормальной (изоэхогенной) ткани в нижней части доли темный участок...
51,6 тыс читали · 2 года назад
Признаки онкологии по анализам крови
Можно ли по анализу крови определить онкологию? Можно. Диагностика рака по анализу крови возможна в двух случаях: В остальных случаях признаки рака по анализу крови можно определить лишь косвенно. Рак развивается в результате сложного процесса, включающего генетические мутации, онкогенез, и патобиологию. Этот процесс не только вызывает специфические для ракового заболевания биологические и патологические изменения, но также вызывает общие биохимические изменения либо в системном ответе на сам рак, либо на противораковую терапию...