Как УБРАТЬ зубной налет дома? #чистказубов #здоровыезубы #гигиенаполостирта
Как удалить зубной налет в домашних условиях
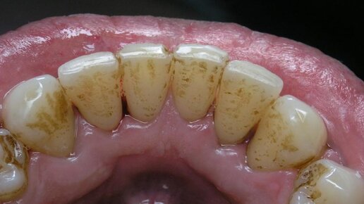
Многие люди знакомы с проблемой образования на зубах отвердевшего налета, который имеет название зубной камень. Вследствие недостаточной гигиены полости рта, происходит образования мягкого зубного налета, состоящего из остатков пищи и бактерий, после он пропитывается минеральными веществами и превращается в твердый налет. Зубной камень не только портит внешний вид ротовой полости, но и провоцирует воспаления и кровотечения десен, что может привести к потере зубов. Конечно, самый правильный метод удаления камня, осуществляться стоматологом при помощи ультразвука...
Не голливудская улыбка: как очистить зубы от налета в домашних условиях
Простые правила гигиены помогут сохранить здоровье ротовой полости. Зубная нить поможет очистить зубы от налета в домашних условиях. Об этом врач-гигиенист Инна Гришина рассказала aif.ru. Специалист также поделилась советами, как это можно сделать самостоятельно в домашних условиях. Зубной налет, возникающий со временем, представляет угрозу для здоровья десен и может спровоцировать кариес, поэтому важно вовремя от него избавляться. Он образуется из остатков еды, слюней и бактерий в ротовой полости...