188 читали · 5 лет назад
Как не ходить без зуба после его удаления?
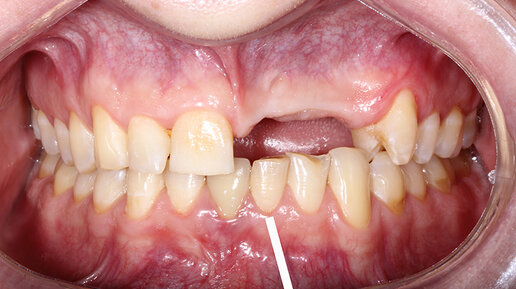
Часто, очень часто бывают ситуации, когда удаляются передние зубы. Самый важный вопрос, который я слышу в подобных случаях: – Доктор, а как же я буду ходить без передних зубов? Вариантов тут несколько. Первый. Очень распространённый, но не всегда удобный и практичный – это сделать съёмный протез «бабочку». Может замещать от одного до нескольких зубов, в зависимости от участка удаления. Держится за крайние зубы с помощью крючков или выступающих частей. Вариант не очень удобный в эксплуатации! Нуждается в ежедневном снятии! Второй...
06:44
1,0×
00:00/06:44
687,2 тыс смотрели · 4 года назад
562 читали · 3 года назад
Не удаляйте зуб, пока не прочтете эту инструкцию!
Что делать, а что нельзя делать после операции по удалению зуба. Удаление зуба – достаточно серьезная операция, к которой нужно отнестись внимательно, чтобы не развились осложнения. К сожалению, в силу разных причин, хирурги не всегда дают пациенту полную информацию о том, что можно, а что, главное, нельзя делать после удаления зуба. Поэтому важно заранее ознакомиться с основными правилами еще перед операцией. Что необходимо помнить перед операцией. Прежде всего, надо помнить, что во избежание...