345 читали · 7 лет назад
Лечение Пародонтоза в домашних условиях
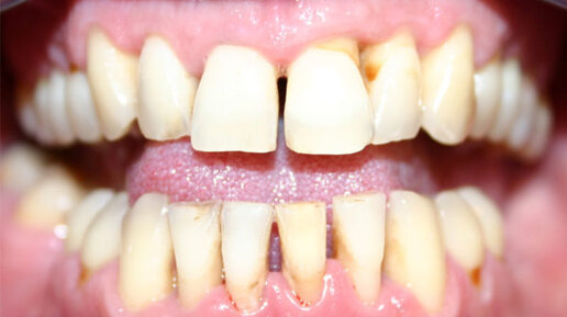
Лечение Пародонтоза в домашних условиях Пародонтоз-это заболевание десен,при котором происходит нарушение в питании тканей.Что приводит к потере зубов. Лечить это заболевание можно как традиционной медициной,так и народными методами. Пародонтоз может возникнуть после 35 и чем раньше лечение будет начато,тем быстрее будет результат. Причины: 1.неправильный прикус 2.гипертоническая болезнь 3.тахикардия 4.сосудистая дистония 5.авитаминоз 6.наследственность Симптомы: 1.отек десен 2.запах изо рта 3...
1884 читали · 2 месяца назад
Как лечат пародонтит и пародонтоз: что делают в клинике и что можно делать дома
Пародонтит и пародонтоз — одни из самых частых причин потери зубов во взрослом возрасте. При этом многие пациенты годами лечатся неправильно, потому что не понимают разницу между этими заболеваниями и используют одинаковый подход там, где он не работает. В этой статье разберём: Пародонтит — это воспалительное заболевание тканей вокруг зуба, вызванное бактериальным налётом и инфекцией. Основные симптомы пародонтита: Без лечения воспаление разрушает кость, и зуб теряет опору. Пародонтоз — это хронический дегенеративный процесс, связанный с нарушением питания тканей и кровоснабжения...