Кариес у детей: как вовремя заметить и что делать родителям
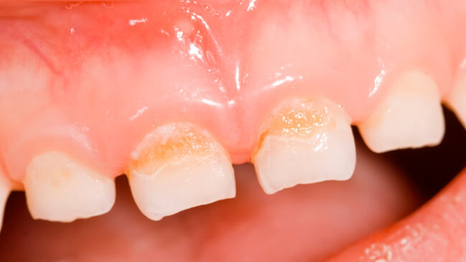
По статистике, кариес у детей встречается у 8 из 10 малышей дошкольного возраста — и цифры продолжают расти. Почему болезнь развивается так быстро и как не допустить разрушения молочных зубов? Разбираемся вместе с детским стоматологом. Молочные зубы покрыты более тонкой эмалью, а дентин под ней — мягкий и пористый. Поэтому детский кариес развивается стремительно: вчера было едва заметное белое пятнышко, а уже через неделю может появиться тёмная дырка. Главные причины кариеса у детей: Отдельный фактор риска — бутылочный кариес...
8 месяцев назад
Как лечить кариес ребенку
Кариес – это, к сожалению, распространенная проблема у детей, и игнорировать ее нельзя. Зубная эмаль ребенка более тонкая и уязвимая, чем у взрослого, поэтому кариес развивается быстрее и может привести к серьезным осложнениям, таким как пульпит (воспаление пульпы зуба) и периодонтит (воспаление тканей вокруг корня зуба). Важно вовремя обнаружить и начать лечение кариеса, чтобы сохранить здоровье зубов и общее здоровье ребенка. Обнаружение кариеса у ребенка: признаки и диагностика Заметить кариес...
832 читали · 4 месяца назад
Лечение кариеса у ребёнка 3 года
Здравствуйте, дорогие читатели! Спешу поделиться своим опытом, возможно кому-то будет полезна статья, как вылечить зубы 🦷 у трехлетки и сколько это стоит. Тёмное пятно на переднем зубике я заметила достаточно давно, но в последнее время оно стало увеличиваться и я забила тревогу. Мне было страшно вообще даже представить, как можно вылечить зубы у неспокойного ребенка, который постоянно психует и даже зубы не всегда даёт почистить. Бабушка так вообще советовала забить, мол молочные зубы все равно выпадут 😅 Меня такой расклад не устраивал...
6 лет назад
Как лечить кариес у детей
Родители, которые со всей ответственностью подходят к решению вопросов относительно здоровья своего малыша, знают, детский кариес - это заболевание, которые не терпит никакого промедления в лечении. Иначе говоря, как только вы обнаружите, что у вашего ребенка появились первые признаки кариеса, срочно начинайте лечение. Чем раньше вы избавитесь от подобных проблем, тем больше вероятности, что ваш ребенок вырастет со здоровыми и красивыми зубками. К профилактике кариеса стоит приступать еще тогда, когда ребенок находится в утробе матери...