Лечение кариеса и реставрация передних зубов (резцов)
Кариес на передних зубах: причины появления и лечение.
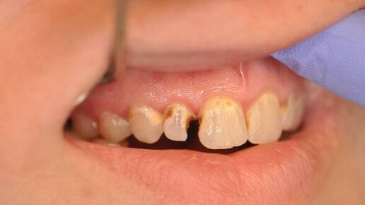
Несмотря на то, что во время ежедневной чистки мы уделяем больше внимания передним зубам, даже качественный уход не защищает их от развития кариеса. Кариес на передних зубах портит улыбку и доставляет массу неудобств. Поэтому скорейшее устранение дефекта становится главным вопросом на повестке дня. Качественная терапевтическая стоматология в стоматологической клинике «Гармония Дент» поможет устранить подобного рода проблемы, а своевременное лечение быстро вернет возможность открыто улыбаться. Кариес...
Кариес на передних зубах - как его лечат?
Как лечат кариес на передних зубах в современных стоматологиях. Почему прекрасная Жозефина Богарне, супруга Наполеона Бонапарта, так редко улыбалась? Потому что из-за любви красавицы к сладкому ее передние зубы были черными от кариеса. К счастью, сегодня стоматологи успешно справляются с этой проблемой - и мы расскажем вам, как.  А на вопрос "где?", Startsmile отвечает подборкой клиник и цен на лечение зубов в Москве и Санкт-Петербурге. Только проверенные стоматологии! Почему кариес передних зубов...