Как лечат базалиому - злокачественную опухоль кожи?
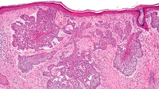
Базалиома (базальноклеточный рак) – наиболее часто встречающаяся (в 80% случаев) злокачественная опухоль кожи. Базалиома может возникнуть на любом участке кожи, но излюбленными являются открытые локализации, подверженные воздействию ультрафиолетового излучения. Прогноз у пациентов с базалиомой благоприятный, поскольку опухоль медленно прогрессирует, а частота метастазирования базалиомы составляет всего 0,5%. В то же время риск местного рецидива базалиомы достаточно высок, достигая 40%. Повышенный...
20,4 тыс читали · 1 год назад
Как отличить базалиому от кератомы? Советы от врача-онколога
Зачастую пациенты путают разные кожные новообразования, такие как базалиома и кератома, поскольку они могут выглядеть схоже. Но важно уметь отличить их, так как подходы к лечению этих состояний отличаются. Недавно я провел опрос, чтобы узнать, как часто люди ошибаются в таких случаях, и рад сообщить, что большинство участников верно распознало базалиому. Давайте разберем основные признаки этих образований и поговорим о том, почему важно вовремя обращаться ко врачу. Базалиома или базально-клеточный рак — это одно из самых частых онкологических заболеваний кожи...