Как долго по времени нужно ходить с брекетами?
Отвечаем: Важно понимать, что ортодонтическое лечение — достаточно сложное, особенно если требуется коррекция прикуса, поэтому займет немало времени (то есть за месяц точно не получится исправить), и стоит запастись терпением. Средний минимум — не менее полугода, это для достаточно простых клинических случаях. Продолжительность ортодонтической коррекции на брекетах зависит от целого ряда факторов: 1. Сложность ситуации При небольших отклонениях от нормы срок лечения может составить от 6 месяцев до 1,5 лет...
877 читали · 3 года назад
Последний месяц перед снятием брекетов. Результат до и после.
Итак, моя 12 активация за 23 месяца ношения всей этой конструкции и наконец-то заветный вердикт «скоро мы снимаем брекеты». НО! Не всё так радужно, как я себе представляла. Конечно, это диво дивное да чудо чудесное, что в таком возрасте зубы двигаются на своё законное место и принимают правильное положение в челюсти. Но тот результат, на который хотелось бы рассчитывать, наверное не наступит никогда. Примерно в первые полгода весь зубной ряд уже имеет нужное очертание, которое сохранится в итоге...
СКОЛЬКО НУЖНО ХОДИТЬ В БРЕКЕТАХ
Брекет-системы предназначены не только для создания эстетически привлекательной улыбки, ровные зубы важны и для поддержания здоровья всего организма человека. Многие люди откладывают ортодонтическое лечение, потому что не знают, сколько лет нужно ходить с брекетами и насколько это комфортно. Постараемся ответить на все вопросы: сколько надо носить брекеты, в каком возрасте их лучше ставить. Для чего устанавливают и сколько нужно носить брекеты В тяжелых случаях патологии прикуса исправляются только хирургически...
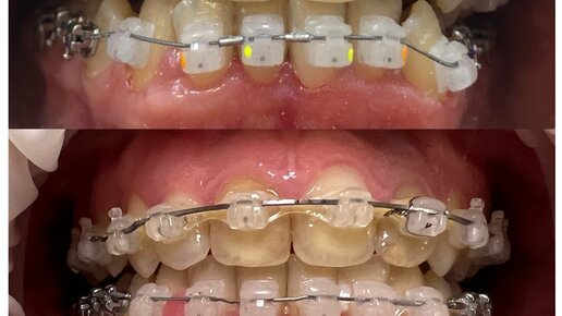
1712 читали · 1 год назад
Брекеты. Какие сложности возникают во время лечения? Какие правила нужно соблюдать после снятия.
Итак, в сегодняшней статье я расскажу о своем опыте ношения брекетов, с какими сложностями я столкнулась во время носки и после снятия, ну и конечно же, покажу до/после. История вышла длинная, поэтому, усаживайтесь по удобнее, поехали ✌️ Признайтесь, кривые зубы сразу же бросаются в глаза при разговоре с человеком, а уж каждый решает сам, готов ли он относиться к этому спокойно, или ему это вообще не нравится, и отталкивает. Сейчас это уже стало мейнстримом, и каждый 2-й ходит с брекетами, многие медийные люди начали носить брекеты, раньше такого наплыва я не замечала...