Как избавиться от тараканов суперклей видео ютуб. Ловушки для тараканов. Канал Тутси
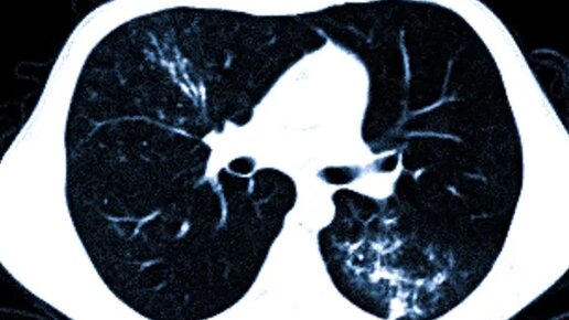
КТ при пневмонии и covid-19
Пневмония является серьезным инфекционно-вирусным заболеванием, которое поражает легкие. Вирусная пневмония является одним из типичных осложнений для коронавирусной инфекции 2019-nCoV (COVID-19). Поскольку некоторые виды вирусной пневмонии проходят бессимптомно, для выявления воспаления легких широко применяют визуализационные методы диагностики. Как правило, пневмонию замечают во время рентгена (нужно сделать боковую и прямую проекцию легких). Однако в некоторых случаях для подтверждения диагноза требуется прохождение компьютерной томографии легких...
Как диагностируется пневмония на рентгенограмме и КТ.
Когда у пациента возникает соответствующая клиническая картина пневмонии (повышение температуры тела, кашель, боли в грудной клетке, одышка), выслушиваются хрипы при аускультации, врач обычно направляет его на рентген лёгких. Но начальной стадии, в первые дни развития пневмонии на рентгене лёгких может не быть характерных изменений. Диагностические возможности рентгена легких ограничены, так как при этом изображение получается в одной проекции. При прогрессировании воспаления лёгких и возникновении одышки, на рентгене, как правило, возникают соответствующие признаки пневмонии...
Как часто можно делать КТ? Кому и в каких случаях
Компьютерная томография позволяет диагностировать многие заболевания. Хорошее качество снимков и высокая информативность данного метода исследования позволяют врачам выявлять патологии, давать прогнозы дальнейшего течения, назначать эффективное лечение. Однако злоупотреблять КТ не рекомендуется, лучше ее делать только при наличии показаний и по направлению врача. Почему КТ так популярна? КТ используется для исследования: Данный метод эффективен в случаях необходимости проведения обследования грудной клетки, брюшины и других органов...