Как избавиться от тараканов суперклей видео ютуб. Ловушки для тараканов. Канал Тутси
Что делать, если на МРТ головного мозга выявили глиоз?
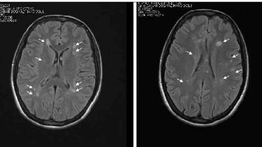
Глиоз на МРТ: что это значит, как часто встречается и насколько опасен? Стоит сказать, что многие пациенты бывают не на шутку напуганы, когда видят своё заключение МРТ. В редких случаях там можно прочитать "патологии не выявлено". Чаще встречаются фразы о единичных или множественных очагах глиоза, микроангиопатии, умеренной или незначительно выраженной наружной заместительной гидроцефалии. Звучит довольно неприятно. Давайте разберёмся, во всех ли случаях стоит волноваться. Что такое глиоз?...
Болезнь Бинсвангера на примере клинического случая
Болезнь Бинсвангера (субкортикальная артериосклеротическая дисциркуляторная энцефалопатия, также известная как «малая» сосудистая деменция) – прогрессирующее заболевание, характеризующееся утолщением и снижением активности мышечного слоя артерий на фоне длительно существующей артериальной гипертензии, вследствие чего нарушается кровоснабжение исключительно белого вещества головного мозга. Вследствие ишемии происходит постепенное уменьшение объёма белого вещества головного мозга с развитием диффузной церебральной атрофии и компенсаторным расширением желудочковой системы...