• Главная
  • Подписки
  • Найти
  • Новости
  • Статьи
  • Видео
  • Ролики
  • Видеоигры
  • Детям
Всё о ДзенеВакансииДзен на iOS и Android
ВсёНовостиТемыКаналыВидео и РоликиСтатьи и Посты
Общество
06:44
1,0×
00:00/06:44
Валерия
835,5 тыс смотрели · 4 года назад
sfd
24health Здоровые люди
4 года назад
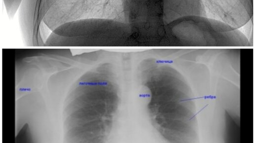
Флюорография: что показывает и как часто можно делать?
Лучи, использующиеся при флюорографии, обладают меньшей жесткостью...
10:26
1,0×
00:00/10:26
tophype
3621 смотрели · 5 лет назад
Самые Невероятные Уличные Граффити, Которые Поднимут Вам Настроение
Также ищут
насквозь этосбербанк каккроме этогомоторист этоокна какие
3175394817.1977.1765544951371.96722