ФЕЙСЛИФТИНГ➕КОРРЕКЦИЯ МОЧЕК💕Пациентке 55 лет, имелся сильный фиброз тканей, но Николаева Сандары Афанасьевна справилась🔥Результат через 1️⃣месяц✅
Что такое фиброз легких: причины, симптомы и лечение
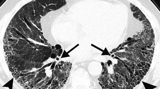
Согласно исследованиям регистра пациентов с идиопатическим легочным фиброзом (ИЛФ), в России фиброз легких встречается у 4–7 человек из 100 000. В статье рассказываем о видах, причинах возникновения и симптомах фиброза легких, а также о методах диагностики и лечения этого заболевания. Фиброз легких — это необратимый процесс замещения здоровой ткани легких рубцовой, в результате чего снижается эластичность легких. Так, альвеолы (легочные пузырьки, в которых происходит газообмен) теряют способность нормально расширяться и сокращаться...