Esmira Memmedova - Xeyallarimin İnsani 2020 / Official Klip
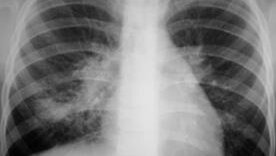
Флюорография, рентген и КТ органов грудной клетки : диагностика очагов в лёгких
Скрининговым методом выявления очагов в легких является флюорография, которую рекомендуют проходить ежегодно. Основная ее роль отводится к выявлению туберкулеза. Также при проведении флюорографии можно увидеть злокачественные образования лёгких и инфильтрацию при пневмонии...
Экстрасистолы — что это, почему возникают и что делать?
Толчок, удар, замирание, переворот, провал вниз — эти и другие слова часто применяют пациенты на приеме врача-кардиолога. А речь об экстрасистолах или внеочередных сокращениях сердца. Иногда мы их ощущаем, что и беспокоит, иногда — они не чувствуются, но врач видит их при обследовании сердца. Что же такое экстрасистолы и стоит ли их лечить? Обсудим вместе с врачами Кутузовского центра Evolutis Clinic. Экстрасистола — внеочередное сокращение сердца или его части из-за импульса от аритмогенного (эктопического) очага...