Простейшая телевизионная АНТЕННА для приема 20 цифровых каналов DVB-T2 . (для дачи и не только) Самодельная тв Антенна
Какие очаги врачи могут выявить в лёгких
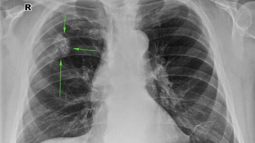
Довольно часто можно услышать врачебную фразу про выявление у пациента «очага или очагов в лёгких». Что же представляют собой подобные очаги и когда они возникают разберем в данной статье.
Очаги в лёгких...
Обустраиваем очаг для костра и покупаем всё необходимое.
Домашний очаг – не только место разведения огня, но и источник, где берут начало многие явления и события нашей жизни. Горящий очаг – символ изобилия, признак комфорта и безопасности. Поэтому разумные хозяева загородных участков придают большое значение безопасности самого очага. Как сегодня обустраивают очаг для костра и где покупают всё необходимое? Из чего сделать очаг для костра на даче? Уличный очаг для костра можно создать почти из любых негорючих материалов. Для этого можно приспособить даже старую ржавую бочку! Но всё же лучше подойти к этому вопросу более основательно...