Чем МРТ головного мозга отличается от МРТ сосудов головного мозга
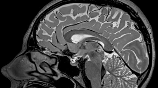
Что показывает МРТ головного мозга
Чем отличается МРТ головного мозга от МРТ сосудов головного мозга? МРТ головного мозга и МРТ сосудов головного мозга - это два различных вида обследования.
Что покажет МРТ сосудов головного мозга (ангиорежим)
Процедура МРТ сосудов головного мозга представляет собой диагностический инструмент, в процессе использования которого с помощью специального магнитно-резонансного томографа исследуется сосудистая сеть пациента на предмет выявления в ней специфических аномалий, тромбов, разрывов, аневризм, гематом и других патологий. Томография сосудов головного мозга предполагает задействование импульсов, которые вступают во взаимодействие с магнитным полем и формируют изображения исследуемой области. Как следствие...