Костный мозг – что мы знаем?
Мы с тобой одной крови: история о том, как спасти жизнь человека, став донором костного мозга
Для чего нужна трансплантация гемопоэтических стволовых клеток крови (или костного мозга), какие болезни это процедура помогает остановить или даже излечить и правда ли, что донор и реципиент являются генетическими близнецами — объяснила Ирина Семенова, руководитель донорской службы фонда AdVita. Зачем нужна трансплантация? Костный мозг — это орган кроветворной системы, который внешне выглядит как жидкая субстанция. Он продуцирует все клетки крови и содержит в себе жизненно необходимые пациенту стволовые клетки...
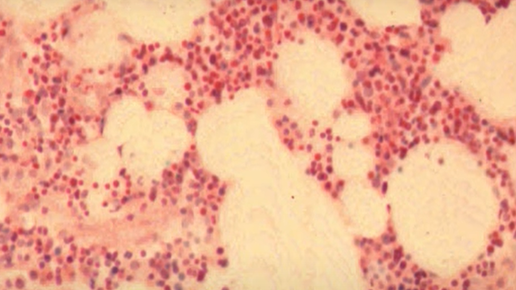
ЧТО ЖЕ ТАКОЕ КРАСНЫЙ КОСТНЫЙ МОЗГ И ЖЕЛТЫЙ КОСТНЫЙ МОЗГ. (это просто)
Красный костный мозг, содержится во всех полостях костей у позвоночных и животных. Для чего нужен Красный костный мозг нам внутри костях? Дело в том, что мы не можем жить без кислорода, а кислород не может обмениваться, (то есть, когда мы дышим, то в кровь поступает кислород, а когда мы выдыхаем, то через легкие выходит, углекислый газ) этих этапов не будет без эритроцитов, а эритроциты — это кровяные клетки, которые участвуют в газообмене, то есть мы не можем жить без эритроцитов. Также клетки...