Зачем нужен контраст при КТ и МРТ? Разбираем нюансы точной диагностики
Все о КТ с контрастом
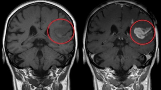
Проведение компьютерной томографии с контрастом и без позволяет на раннем этапе диагностировать заболевания органов брюшной полости и малого таза, грудной клетки, всех отделов позвоночника, верхних и нижних конечностей, головного мозга...
КТ с контрастом - что это за процедура и в каких случаях применяется?
КТ с контрастом – это современный способ обследования, применяемый в целях обнаружения различных нарушений в функционировании внутренних органов. Такую диагностику применяют для выявления патологий в головном мозге, брюшной полости, легких. Что такое КТ с контрастом Компьютерная томография с контрастированием является самым эффективным способом оценки состояний сосудов и полых органов. Диагностика выполняется на современном оборудовании, представляющем собой мощные томографы. Для повышения четкости снимков прибегают к контрастированию...