236 читали · 3 дня назад
Ортодонтия — не только про кривые зубы
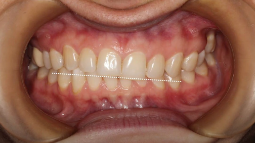
Многие думают, что ортодонтическое лечение нужно лишь тем, у кого зубы растут неровно. Но это не всегда так. Иногда зубы внешне ровные, а вот сама улыбка — нет. Посмотрите на фото «до лечения». Что мы видим? В данном случае лечение было необходимо не только ради эстетики, но и для здоровья зубов: Задача была непростая и потребовала комплексного подхода. Мы использовали брекет-систему в сочетании с мини-винтом, чтобы выровнять уровень зубов по горизонтали. Далее было создано место для имплантации и проведено восстановление группы жевательных зубов...
132 читали · 3 месяца назад
Расширение челюсти: что это и зачем нужно
Что делать, если на верхней или нижней челюсти есть дефицит места для зубов? На помощь придёт процедура под названием расширение челюсти. Что это за процедура, зачем она нужна, как и на каких аппаратах проводится — расскажет стоматолог-ортодонт Марина Степченкова. Расширение челюсти — это ортодонтическая процедура, направленная, как видно из названия, на увеличение ширины верхней или нижней челюсти. Это может быть необходимо для коррекции сужения и связанных с ним нарушений прикуса. Метод помогает...