06:44
1,0×
00:00/06:44
723,3 тыс смотрели · 4 года назад
4 года назад
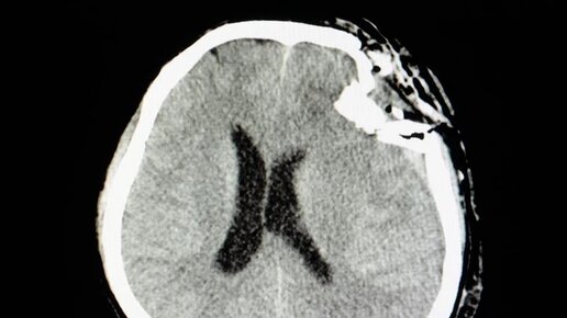
Отек головного мозга - характеристика.
Мозг - это основной орган центральной нервной системы, благодаря которому мы можем получать, обрабатывать и генерировать раздражители. Таким образом, очевидно, что каждое его нарушение представляет собой огромную угрозу для здоровья и жизни человека...
907 читали · 5 лет назад
МРТ при кисте головного мозга
Киста головного мозга - это вид мозгового новообразования, наполненного изнутри жидкостью, как пузырь воздухом. Образования головного мозга бывают двух видов: доброкачественные и злокачественные. Киста головного мозга - это доброкачественное образование...