КТ и МРТ с контрастом: вред, польза или обман?
Что такое МРТ диагностика?
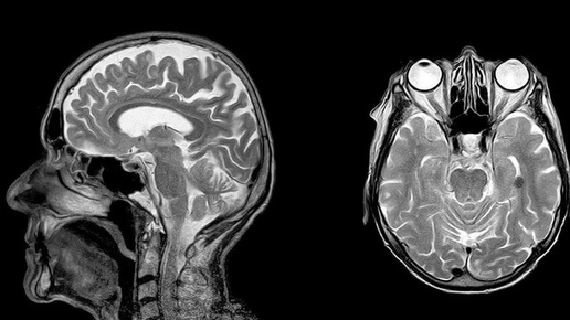
Магнитно-резонансная томография (МРТ), как метод диагностики, все более широко применяется во многих областях медицины. С ее помощью доктора могут проводить прицельное обследование почти всего организма: от головного мозга до голеностопа, от носа до органов малого таза и самых мелких суставов кисти. Еще 10 лет назад на МР-сканировании трудно было в деталях разглядеть сердце или кишечник, но с приходом новых сверхвысокопольных томографов даже кардио-МРТ или виртуальная МР-колоноскопия стали возможными...
Что такое МРТ? Какие есть противопоказания для прохождения данного исследования?
Всем привет! Живя в 21 веке еще многие не знают - что же такое мрт и есть ли противопоказания для положения данного исследования. Так давайте с Вами в этом разберемся . Мрт - это магнитно-резонансная томография, где выстраивается магнитное поле для исследования. В отличие от Кт- компьютерной томографии , здесь нет облучения. МРТ наиболее информативное исследование , а также и самый безопасный метод диагностики. Процесс заключается в помещении пациента в тоннель томографа, где и создаются снимки необходимых органов...