Рентген - бесполезно и опасно?
Рентген черепа: что покажет? при каких заболеваниях нужно делать?
Поводы для назначения рентгенограммы можно разделить на две категории: жалобы пациента и клинические проявления, наблюдаемые самим врачом. Если вы жалуетесь на дрожание рук, головные боли, потемнение в глазах, кровотечение из носа и головокружение, болезненное жевание, потерю слуха и нарушение зрения, будьте готовы к тому, что врач направит вас на рентген. Рентген черепа также показан при: черепно-мозговой травме (наиболее частое состояние), развитии асимметрии лицевых костей, обмороках, подозрении на опухоли, врожденных поражениях черепа и эндокринных аномалиях...
Рентген черепа, особенности.
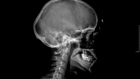
РЕНТГЕН ЧЕРЕПА ЧТО ЭТО Рентген черепа — это 2-х мерное рентгеновское исследование, проводится в двух проекциях (прямой и боковой). Снимок охватывает все кости черепа, включая верхнюю и нижнюю челюсть, а так же турецкое седло. ДЛЯ ЧЕГО Рентген черепа может быть назначен в следующих случаях: КАК ПРОВОДИТСЯ Пациента укладывают на специальный рентгеновский стол, снимок проводится в двух проекциях, прямая проекция — лежа на животе лицом вниз, боковая — то же на животе, только голова поворачивается на необходимый врачу бок...