Спасите свою поджелудочную железу от повреждений с помощью этих 9 продуктов - ешьте их каждый день!
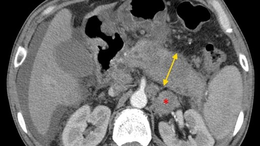
Все о КТ поджелудочной железы
КТ поджелудочной железы - современный неинвазивный способ диагностики, который в медицинских центрах СПб проводится на базе МСКТ брюшной полости и забрюшинного пространства. Поджелудочная железа отвечает за выработку многих пищевых ферментов и гормонов...
Что покажет КТ поджелудочной железы
Компьютерная томография поджелудочной железы является неинвазивным методом лучевой диагностики данного органа. Она позволяет быстро визуализировать патологические изменения поджелудочной железы, клетчаточных пространств и других органов живота. В диагностических центрах ее проводят в рамках нескольких протоколов: Нужный способ обследования обычно выбирает лечащий врач и указывает в своем направлении на диагностику. ПОКАЗАНИЯ Сложность дифференциальной диагностики опухолевых и воспалительных поражений...