Салли Кромсали и Балди Разгадали Новый Секрет Злой Бабушки Гренни все серии Страшилки мультики
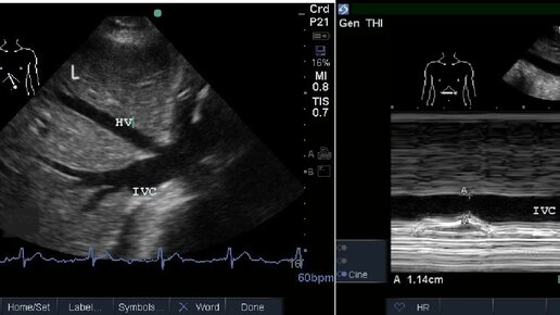
Ультразвуковые критерии венозного застоя
Острое повреждение почек и другие виды органной дисфункции на фоне сердечной недостаточности в первую очередь определяются низким сердечным выбросом и венозным застоем. Это является следствием повышенного давления наполнения сердца. Ранняя ультразвуковая оценка нижней полой вены у постели больного, УЗИ легких для выявления легочного застоя и эхокардиография все чаще используются для оценки застойной сердечной недостаточности и функции левого желудочка у постели больного. Застой нарушает венозный отток от органов брюшной полости (прежде всего почек и печени)...