У Дженнет Базаровой несовершенный остеогенез — редкое генетическое заболевание, при котором кости часто ломаются. В этом видео она делится сложностями, которые мешают ей в повседневной жизни.
Несовершенный остеогенез
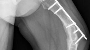
Несовершенный остеогенез – тяжелое наследственное заболевание, основным проявлением которого является нарушение структуры и прочности костей, приводящее к частым переломам костей. Дети, страдающие этим заболеванием ограничены в своих возможностях в связи с риском возникновения перелома без адекватной травмы, а также из –за деформаций конечностей. Без адекватного лечения заболевание нередко приковывает пациентов к постели, изолирует от общества, препятствует нормальному психомоторному развитию, интеграции в детских коллективах и, в дальнем, в социуме...
Несовершенный остеогенез: каким должен быть успешный путь от педиатрической помощи к взрослой клинике.
Несовершенный остеогенез - это редкое наследственное (генетическое) заболевание, также известное как болезнь хрупкости костей. У ребенка, рожденного с несовершенным остеогенезом, кости легко ломаются и не формируются нормально...