Пятна на зубах. Темнеют зубы.
Как зубы чернеют из-за антибиотиков, и чем это лечить
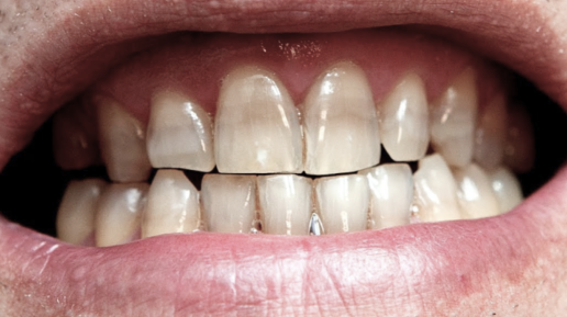
Принимали медикаменты, а потом обнаружили, что зубы приобрели нездоровый желтовато-зелёный или даже бурый оттенок? Рассказываем о том, в чём причина такой проблемы, и о том, как её решать. Антибиотики тетрациклинового ряда – сильные лекарственные средства, которые часто бывают очень эффективными. Проблема в том, что они вступают в реакцию с кальцием, образовывая минеральные соединения. Именно эти соединения перекрашивают зуб в тёмный цвет. Особенно неприятно то, что если антибиотик принимала беременная женщина, у ребёнка зубки сразу могут появиться тёмными...
Из-за чего чернеют зубы или темнеет эмаль?
Почернение эмали говорит о серьезных проблемах со здоровьем полости рта. Зубы, индикатор многих серьезных заболеваний. Они могут рассказать даже про уровень иммунитета. В этой статье расскажу – из-за чего эмаль меняет цвет, почему важно предотвратить такие изменения и что делать, если единица потемнела. Часто пациенты сталкиваются с такими ситуациями: Пульпа – это не только нерв, но и кровеносные сосуды, которые питают дентальные ткани. Без питания блокируется доступ к кислороду, а также к полезным элементам, из-за этого постепенно зуб без нерва темнеет...