Как вылечить гнойную ангину у ребенка - медицинские советы, лечение
Как лечить фолликулярную ангину?
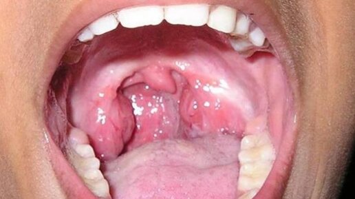
О таком диагнозе, как ангина, написано много. Большинство, уверен, знают, что это такое и «с чем её едят». Но я был бы не я, если бы не показал вам ангину с другой стороны. Сегодня я расскажу вам о такой форме заболевания, как фолликулярная ангина. Есть среди моих читателей те, кто знают этот диагноз? Полагаю, даже если есть, таких единицы. Чем же отличается фолликулярная ангина от ангины в классическом понимании? Сейчас расскажу. Фолликулярная ангина: общие сведения. Ангиной называется острое воспаление нёбных миндалин (гланд)...
Чем лечить ангину у взрослого
Далеко не всегда боль в горле сигнализирует о том, что у человека начинается ангина. Ведь такой симптом характерен для фарингита, ларингита, скарлатины, дифтерии, ОРВИ. И лечение при этих заболеваниях часто отличается друг от друга. Однако почему-то если человеку становится больно глотать, то первая мысль, которая возникает, - это начинается ангина. И сразу начинаются мысли: чем лечить ангину у взрослого? Какие средства от ангины у взрослых существуют, и что лучше принять, чтобы быстрее выздороветь? И люди забывают, что ангина – не такое простое заболевание, как кажется на первый взгляд...