1 год назад
Открытый боталлов проток
Данный порок встречается в 10% случаев среди всех врожденных пороков. Он часто сочетается с другими сосудистыми аномалиями, а в группе риска находятся недоношенные дети с массой тела при рождении менее 1,5 кг. Замечено, что у детей, рождённых от матерей, проживающих в высокогорных районах, данный порок встречается намного чаще. До сих пор ведутся споры о том, кто впервые описал эту аномалию. Тем не менее, названа она так именно в честь итальянского ученого Леонардо Боталло, жившего в XVI веке. Это...
Открытый артериальный проток: это опасно?
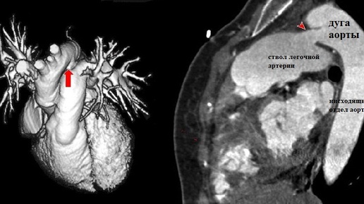
Открытый артериальный проток (ОАП), также называемый Боталловым, относится к врожденным порокам сердца – это аномальное сообщение между лёгочной артерией и аортой. В норме он служит для кровоснабжения плода (эмбриона) в утробе женщины и должен в течение нескольких недель (до 2-х месяцев) после рождения закрыться. Однако, при развитии этой патологии процесс закрытия (облитерации) артериального протока нарушается. В статье поговорим об опасности состояния, методах диагностики, лечении, профилактике...
Открытый артериальный проток
Еще один врожденный порок сердца — открытый артериальный проток. Второе название этой патологии — незаращение Боталлова протока. Из сердца выходят две крупные артерии: аорта и легочная артерия. Аорта выходит из левого желудочка, а легочная артерия — из правого. (Прочтите статьи: "Строение сердца человека" и "Как работает сердце?") Важный момент: выходя из сердца, эти артерии расположены очень близко друг к другу. Аорта — это начальный этап большого круга кровообращения. Внутри этого сосуда находится артериальная кровь, насыщенная кислородом...