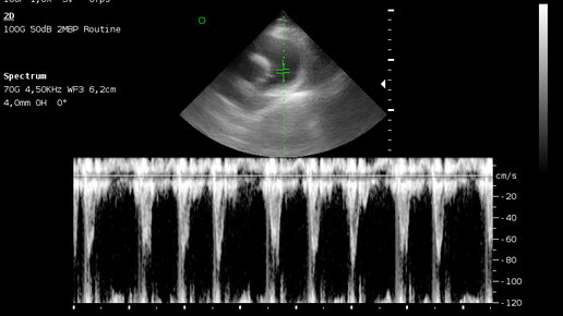
Чемпион международных и российских выставок, шпиц Яша, был на ЭХОкг сердца. Клиника БиоВет Новогиреево.
❤️Зачем кошкам перед операцией измеряют NT-proBNP и делают ЭхоКГ
? ! Главная цель: выявить скрытые болезни сердца, чтобы кошка безопасно перенесла наркоз. 🔹 NT-proBNP (анализ крови) — быстрый скрининг - Это «маркер напряжения» сердца. ? Зачем: Простой анализ крови, который помогает заподозрить проблему, даже если у кошки нет симптомов. - Результат: Если уровень в норме — риск сердечных осложнений низкий. Если повышен — это сигнал, что нужно делать УЗИ сердца и менять план анестезии. 〰️〰️〰️〰️〰️〰️〰️〰️〰️〰️ 🔹 ЭхоКГ (УЗИ сердца) — точная диагностика - Это «золотой стандарт», который видит структуру сердца...