Большое количество тромбоцитов в крови как понизить
Методы ручного подсчета тромбоцитов
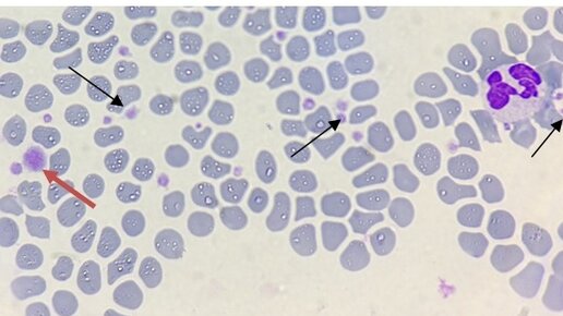
Оценочный подсчет тромбоцитов проводится при ложном занижении их количества при автоматическом подсчете (макротромбоциты, сильный анизоцитоз, агрегация тромбоцитов). Предварительная оценка по мазку крови Среднее количество тромбоцитов определяют на поля зрения под масляной иммерсией (минимум 5 полей зрения). У собак и кошек один видимый тромбоцит соответствует приблизительно 15 000 – 20 000 тромбоцитов/мкл (Даниэль Л. Чен, 2013). Предварительную оценку проводят по следующим правилам: 10 – 25 тромбоцитов в п/зр...