479 читали · 2 года назад
Травма лапки у котенка
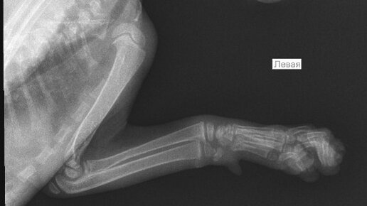
Доброго времени суток! Котенку 2 месяца, вчера поздно вечером случайно прижали дверью (не заметили как прошмыгнул), котенок сильно испугался и начал поджимать левую переднюю лапку. Наощупь серьезных повреждений не обнаружили, котенка успокоили и уложили спать. Утром попросил кушать, ковылял на трех лапках, продолжая держать левую переднюю на весу. Потом ближе к обеду разыгрался, бегал, прыгал и гонял игрушки как обычно. Решили все-таки на всякий случай показать ветеринару. Врач так же наощупь не нашёл ничего серьёзного, но сказал, что не нравится запястье, отправил на рентген...
1 неделю назад
Почему кошки топчут лапками? 5 причин (и одна тайна)
Если у вас есть кот, вы это видели тысячу раз. Он забирается на мягкое (плед, одеяло, ваш живот, клавиатуру) и начинает ритмично перебирать лапками, то выпуская, то убирая когти. Иногда урчит, иногда прикрывает глаза, иногда слегка пускает слюни — от переизбытка чувств...