126 читали · 2 года назад
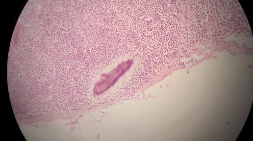
Случай из практики: паразит в лимфоузле у щитовидки(?)
Эта статья будет небольшой, но очень интересной с точки зрения сюрпризов медицины. Организм человек хитер и все еще хранит слишком много тайн. Но природа вокруг нас еще более загадочна. Некоторое время назад нестандартное  взаимодействие этих двух субъектов стало причиной почесывания затылка некоторых врачей. У мальчика-подростка было подозрение на опухоль щитовидной железы. После пункции (забора клеток иголкой, как при уколе) и получения сомнительного результата было принято решение, об удалении узла в условиях операционной и уже определения точного диагноза...
06:44
1,0×
00:00/06:44
943,9 тыс смотрели · 4 года назад