Случай опухоли головного мозга у кота
Коту удалили огромную опухоль мозга
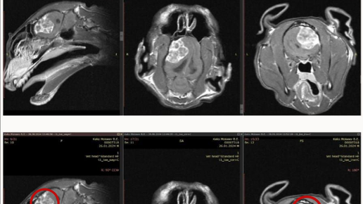
Котик Кекс поступил к нашему неврологу, нейрохирургу Элбакяну Арману Карленовичу по направлению коллег из другой клиники. У владельцев были жалобы на манежное движение в течение двух месяцев, то есть Кекс ходил кругами, динамика была отрицательная На приеме котик был апатичен с признаками возможной головной боли. Понять, болит голова или нет, мы точно не можем, но определенные поведенческие изменения позволяют делать подобные предварительные заключения. По результатам неврологического осмотра, выявленные нарушения свидетельствовали о неком поражении головного мозга...