Мануальная терапия для собак – что это? #мануальнаятерапия #собаки
Клинический случай успешного лечения рака и остеоартрита у собаки с применением лучевой терапии.
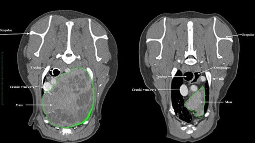
Специалисты клиники школы ветеринарных исследований Эдинбургского университета рассказали об успешной терапии рака и остеоартрита у 11-летней собаки с помощью лучевой терапии. Для лечения применяли линейный ускоритель, используемый для лучевой терапии онкологических патологий у людей. Пациент - собака с диагнозом тимома (рак вилочковой железы, локализованный в грудной клетке) и размером опухоли более 15 см (по КТ - исследованию). Патологическое образование давило на сердце, легкие, трахею, пищевод...