Гидронефроз у кота | Мочекаменная болезнь | Спасаем кота | help the cat
У кота проблемы с почкой. Предварительный диагноз: Гидронефроз почки?
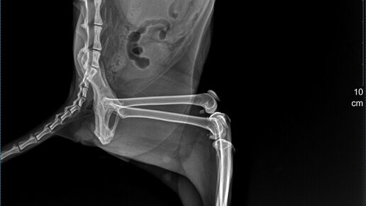
Сегодня моего кота приезжал посмотреть знакомый ветврач и с казал что его надо срочно везти в ветклинику и делать ему рентген в боковой проекции и анализы крови. Сказал что у него правая почка увеличена в размерах раз в пять. Предположительный диагноз: Гидронефроз почки? Отвез на рентген. Вот два снимка которые сегодня ему сделали. Рентгенолог говорит что на снимках она ничего не видит, кроме того что правая почка сильно увеличена в размере и ему надо делать еще и узи! В этой клинике где я был сегодня узи нет...
Гидронефроз у кошек и собак: полное руководство для владельцев
Гидронефроз — это серьезное заболевание почек, которое может угрожать жизни вашего питомца. Оно характеризуется прогрессирующим растяжением и расширением почечной лоханки и чашечек из-за нарушения оттока мочи. Проще говоря, почка превращается в заполненный жидкостью мешок, что приводит к гибели ее функциональных клеток (нефронов). Что такое гидронефроз? Анатомия проблемы Чтобы понять суть болезни, представьте себе почку как сложный фильтр. В ней постоянно образуется моча, которая стекает в небольшую полость внутри почки — почечную лоханку...