Нашей собаке очень плохо. В чем причина?
Пироплазмоз у собак: симптомы и лечение
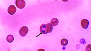
Пироплазмоз у собак, иначе – бабезиоз, сезонное заболевание, переносчики которого клещи рода Babesia. У собак паразитируют иксодовые клещи B. Canis и B. Gibsoni. Тяжело протекающая патология, требует быстрого вмешательства ветеринарного врача, лечение в домашних условиях мало эффективно. Что такое пироплазмоз? Промежуточные хозяева, в теле которых пироплазма размножается бесполым путем – это представители семейства псовых. Дифинитивные хозяева и переносчики бабезиоза – иксодовые и аргасовые клещи, активность которых приходится на теплое время года с апреля по сентябрь...