Посмотрите какого клеща я у кота Рыжки вырвала, впечатлительным не смотреть
Аденокарцинома желудка: симптомы и лечение
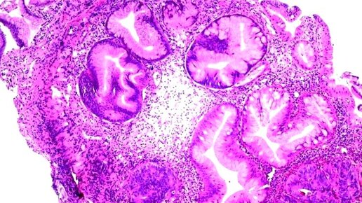
Аденокарцинома желудка — часто диагностируемая форма рака желудка, возникает из-за разрушения клеток желез и эпителия. Заболевание вызывает серьезные боли, дискомфорт во время еды. Считается одним из самых тяжелых видов рака. Причины аденокарциномы желудка Как и с другими видами отмирания клеток, точной информации о причинах возникновения заболевания нет. Большинство врачей склоняются к идее, что развитие патологии вызывает проблемы притока крови и изменения секреции. Рак не развивается в органах...
Аденокарцинома: что означает этот диагноз и как его понять?
Когда в отчёте по патологии появляется слово аденокарцинома, это может вызвать тревогу и массу вопросов. Что это значит? Насколько это серьёзно? С чего начать и как разговаривать с врачом? Чтобы разговор с медицинской командой был более понятным и конструктивным, важно разобраться в сути термина. Аденокарцинома — это точное медицинское обозначение рака, происходящего из железистых клеток. Железистые клетки находятся по всему телу. Железистые клетки помогают вырабатывать жир на коже, слюну во рту и слизь, которая помогает пище и отходам перемещаться по пищеварительной системе...