271 читали · 5 лет назад
Когда пора менять съёмный пластиночный протез, срок службы
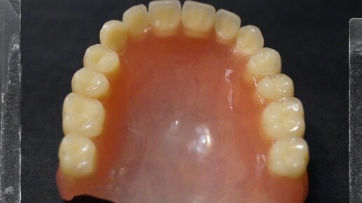
Съёмный пластиночный протез популярен до сих пор по нескольким причинам: Искуственная десна на имплантах https://zen.yandex.ru/media/id/5df718a797b5d400ad7ca45c/realnyi-sluchai-kogda-prishlos-delat-iskusstvennuiu-desnu-na-implantah-5e5aae6fdc29ff1c4ebe008a?feed_exp=ordinary_feed&from=channel&rid=605596772.394.1583947386251.78363&integration=publishers_platform_yandex&secdata=CJTNl6aJLiABMAJQDw%3D%3D Многие люди, особенно бабушки, носят такой протез больше 10 лет и удивляются что он то и дело ломается и меняет цвет...
2593 читали · 5 дней назад
"Я уже 10 лет ношу съемные протезы: можно ли спустя столько времени поставить импланты?". Специалист дает подробное разъяснение
Долговременное использование съёмных протезов нередко сопровождается ощущением, что это окончательное решение. Многие пациенты, особенно пожилого возраста, считают, что раз уж они привыкли к протезу, менять его на импланты уже поздно. На практике это не так. Имплантация остаётся возможной даже после многих лет жизни с протезом. Более того, именно у тех, кто уже сталкивался с дискомфортом и ограничениями съёмной конструкции, чаще возникает желание перейти на что-то более удобное и стабильное. Протезы...