7 месяцев назад
Миеломная болезнь: современные подходы к диагностике, лечению и повышению качества жизни пациентов
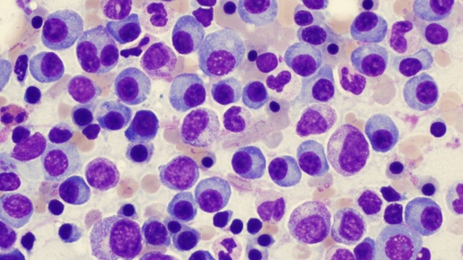
Миеломная болезнь (множественная миелома) — это злокачественное заболевание системы крови, характеризующееся неконтролируемым размножением плазматических клеток в костном мозге. Эти клетки вырабатывают аномальные иммуноглобулины (парапротеины), что приводит к нарушению работы костной ткани, почек и других органов. Несмотря на то, что миеломная болезнь остается неизлечимым заболеванием, современные методы диагностики и лечения позволяют значительно продлить жизнь пациентов и улучшить её качество. Ранняя диагностика миеломной болезни играет ключевую роль в успешном лечении...
220 читали · 2 года назад
Лечение пациентов с множественной миеломой
В последние десятилетия научились хорошо лечить больных с миеломой. В обычную повседневную практику введены и постоянно появляются новые более эффективные лекарства. Учитывают при этом, что большинство больных – люди пожилые, у которых есть и другие возрастные заболевания, поэтому врачи особенно следят за тем, чтобы лечение было безопасным. Лечению гематологических больных в России уделяют большое внимание, поэтому у нас для лечения пациентов с миеломной болезнью используют современные лекарства. Существует два вида лечения: противоопухолевое и сопроводительное. Противоопухолевая терапия направлена на то, чтобы удалить из организма как можно больше опухолевых клеток...