7976 читали · 3 года назад
Где, как и почему могут увеличиваться лимфатические узлы
Увеличение лимфатических узлов многие воспринимают с тревогой, считая, что это признак серьезного заболевания. О каких проблемах со здоровьем нас предупреждает воспаление лимфатических узлов, в каких случаях надо обратиться к врачу и какую диагностику выполнить рассказывает Игорь Евгеньевич Якубенко, врач-онколог НМИЦ онкологии им. Н.Н. Петрова. Шейные лимфатические узлы Для шейных лимфатических узлов характерны инфекции в полости рта, полости носа. Также причинами увеличения лимфатических узлов...
211 читали · 4 года назад
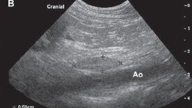
Ультразвуковое исследование лимфоузлов брюшной полости
В настоящее время абдоминальные лимфатические узлы входят в рутинное ультразвуковое исследование брюшной полости. Детальное описание проводится только в случае выявления патологических изменений. В норме лимфатические узлы имеют четкие контуры, овальную или веретенообразную форму, однородную структуру, эхогенность близкая к окружающим тканям – т.е. изоэхогенная или умеренно гипоэхогенная. Размеры лимфатических узлов достаточно вариабельны, зависит от размера животного. Большее значение имеет соотношение короткой и длинной осей; оно не должно превышать < 0,5...
2718 читали · 9 месяцев назад
Когда увеличенные лимфатические узлы означают рак?
Лимфатические узлы (ЛУ) — важная часть иммунной системы. Их увеличение, известное в медицине как лимфаденопатия, чаще всего связано с обычными инфекциями или воспалительными заболеваниями. При этом в большинстве случаев беспокоиться не о чем: узлы приходят в норму по мере выздоровления. Однако существует и другая, более тревожная причина. Иногда раковые клетки распространяются с током крови и оседают в ЛУ. В некоторых случаях именно в этих узлах и начинается развитие злокачественного процесса....
Лимфатические узлы
Лимфатические узлы — это маленькие, но мощные структуры, которые играют ключевую роль в нашей иммунной системе. Они работают как биологические фильтры, очищая лимфу от патогенов, токсинов и других вредных веществ. В этой статье мы погрузимся в увлекательный мир лимфатических узлов, узнаем интересные факты о них и рассмотрим, что было бы, если бы эти важные органы отсутствовали в нашем теле. Представьте себе мир без лимфатических узлов. Наш организм стал бы уязвим для множества инфекций и токсинов...