256 читали · 4 года назад
Обзор цифровых технологий в ортодонтическом лечении
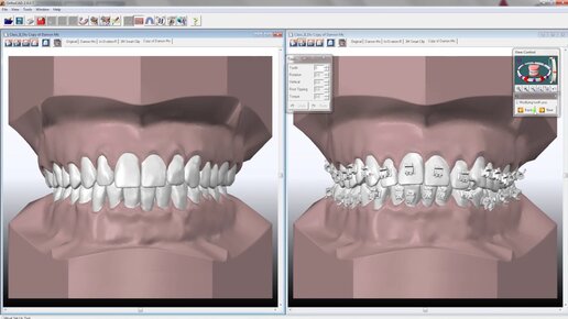
Цифровая стоматология – это молодое, но очень прогрессивное и популярное направление в медицине. Внедрение в диагностические и лечебные процессы компьютерного оборудования произошло всего несколько лет назад, но уже успело завоевать признание как ведущих стоматологов, так и их пациентов. 💭Итак, приступим к обзору оборудования 💎Align Technology ClinCheck Align Technology производит высокоэстетичные ортодонтические конструкции премиум-класса. Система Invisalign – это настоящий прорыв в ортодонтии...
Ортодонтия для родителей: что нужно знать?
Ортодонтия занимается коррекцией положения зубов в зубном ряду, а также исправлением неправильного положения челюстей. Современные доктора уверены, что предупредить расстройства работы зубочелюстной системы в зрелом возрасте поможет сохранение здоровья зубов и исправление имеющихся патологий прикуса еще в детстве. Чаще всего ортодонтическое лечение начинается после смены молочных зубов на постоянные, но бывают случаи, когда необходимость в нем возникает гораздо раньше. При этом важную роль в здоровье зубов ребенка играют именно родители...