06:44
1,0×
00:00/06:44
913,8 тыс смотрели · 4 года назад
1 год назад
В ПНИПУ научили искусственный интеллект диагностировать сколиоз
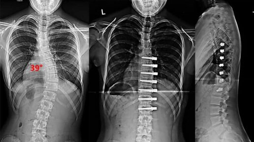
Более 40 процентов населения планеты страдает сколиозом. Он приводит к серьезным последствиям для здоровья. Диагностика заболевания обычным врачебным осмотром или лучевыми методами не всегда эффективна и безопасна. Ученые Пермского Политеха создали и обучили нейросеть находить ключевые точки спины при диагностике сколиоза. Применение компьютерного зрения сделает определение заболевания более точным и доступным для пациента. Статья с результатами исследования опубликована в журнале «Вестник ПНИПУ...