1793 читали · 2 года назад
Саркома Юинга 4 стадия — что нужно знать
Саркома Юинга — редкая форма рака, которая поражает кости или мягкие ткани, окружающие кости. 4 стадия саркомы Юинга — самая запущенная стадия заболевания. На этой стадии рак распространяется на отдаленные ткани и органы. На ранних стадиях человек может иметь такие симптомы, как боль в костях, отек и скованность. Если заболевание прогрессирует до 4-й стадии, пациент будет иметь дополнительные симптомы, такие как лихорадка и снижение веса. На всех стадиях заболевания лечение обычно состоит из химиотерапии, хирургического вмешательства, а иногда и лучевой терапии...
749 читали · 2 года назад
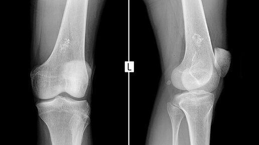
Саркома Юинга — прогноз у взрослых и детей
Саркома Юинга — редкий тип рака, поражающий кости или мягкие ткани, окружающие кости. Этот тип рака имеет тенденцию к быстрому распространению, что может повлиять на показатели выживаемости. Саркома Юинга чаще всего поражает детей и молодых людей, хотя может развиться и у пожилых людей. Возраст человека на момент постановки диагноза может сыграть определенную роль в его прогнозе. Саркома Юинга — выживаемость у взрослых Имеются противоречивые данные относительно того, хуже ли выживаемость при саркоме Юинга у взрослых, чем у детей...